Menu
Head and Neck Radiology MRI
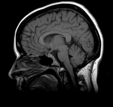
Cerebellum
Cerebral Hemisphere
Diencephalon
Medulla Oblongata
Midbrain
Pons
Straight Sinus
Superior Sagittal Sinus
Prev
MRI
Next