Menu Head and Neck Radiology Radiographs
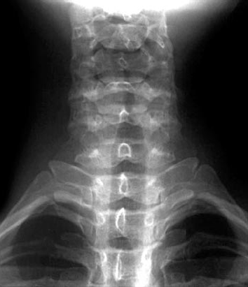
  • Body of CIII
  • Right 1st Rib
  • Spinous Process
  • Transverse Process of TI
  • Uncovertebral Joints
Prev

Overview

    Next