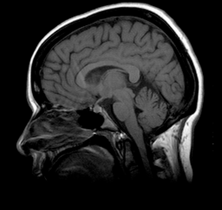
Head and Neck (Sagittal)
Index
Cerebellum
Cerebral Hemisphere
Diencephalon
Medulla Oblongata
Midbrain
Pons
Straight Sinus
Superior Sagittal Sinus