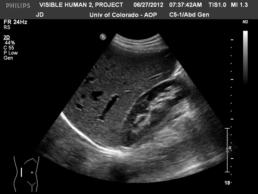
Long (Coronal) Liver and Right Kidney
Index
Diaphragm
Liver
Kidney
Renal Cortex
Renal Sinus Fat
Right Hepatic Vein