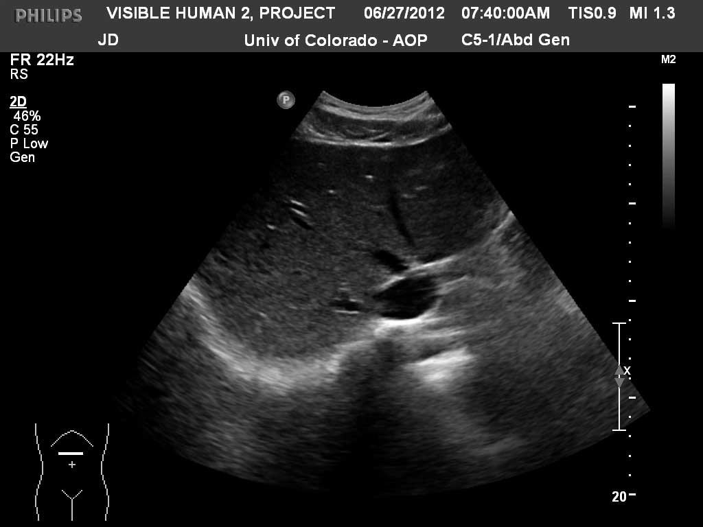
Transverse Liver
Index
Diaphragm
Liver
Inferior Vena Cava
Left Hepatic Vein
Middle Hepatic Vein
Right Hepatic Vein