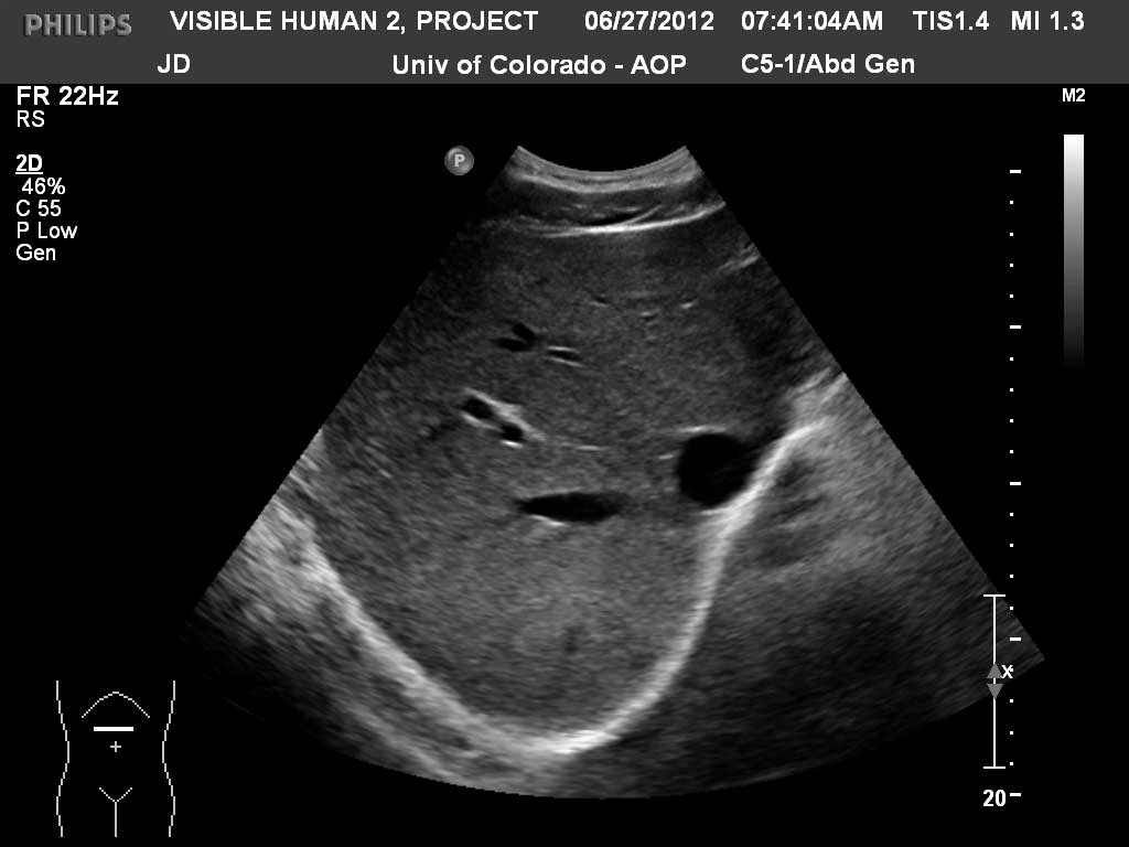
Transverse Liver
Index
Inferior Vena Cava
Liver
Right Hepatic Vein
Right Portal Vein